
Smile Gallery
Discover what comprehensive dentistry can do for your smile.
Our before-and-after gallery showcases real results from real patients here in Manchester, MI. If you’re ready to achieve a healthier, more confident smile, we’re here to help. Contact us at 734-428-8323 to get started.
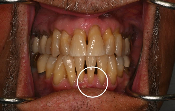
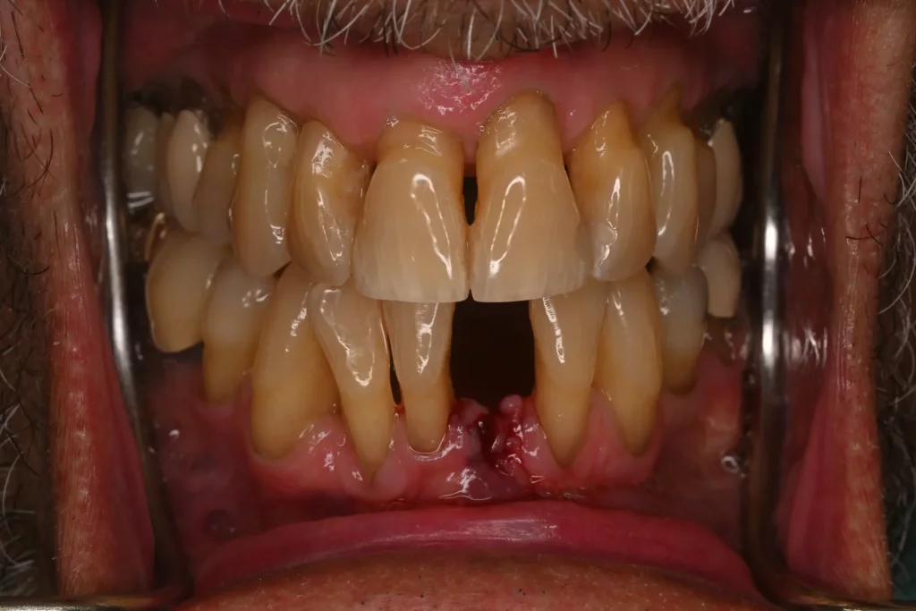
Case 1: Infection and Gum Support
This patient came to Dr. LaRock with an infected tooth and moderate gum disease affecting the lower front teeth, which had started to loosen. To restore health and stability, Dr. LaRock carefully removed the infected tooth, cleaned out the infection, and bonded it to the neighboring teeth for support. The surrounding teeth were also gently splinted together for added strength.
The patient was relieved to have the infection resolved , and was thrilled to leave the office with his tooth comfortably back in place that same day.
Before

Infection located under patient’s gum.

Tooth extracted and infection cleaned.
After

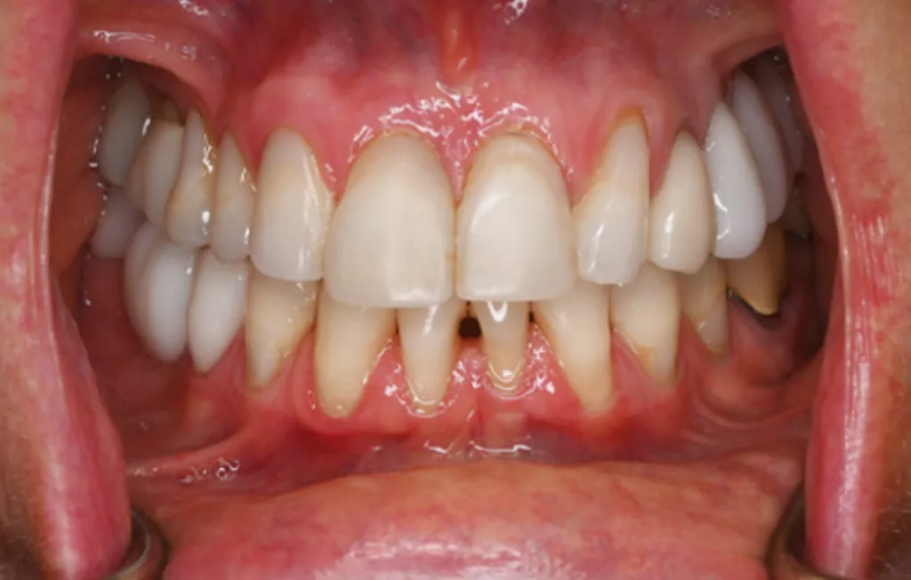
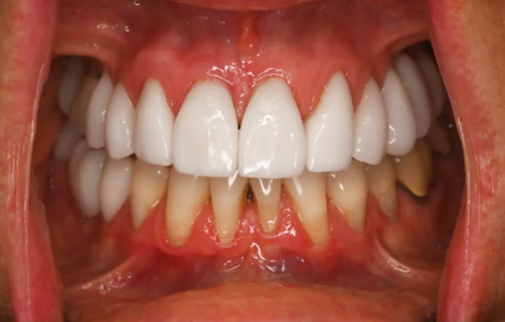
Case 2: Aging Implant Replacement
This patient came to Dr. LaRock with an aging dental implant that had been placed more than 30 years ago. The crown had become loose, and because of the implant’s age, replacement parts were no longer available. The gums around the implant were darkened, irritated, and red, and the neighboring teeth had multiple fillings that frequently chipped and required repair.
To restore both health and aesthetics, Dr. LaRock removed the old implant crown and replaced it with a beautifully designed bridge. This approach allowed all of her front teeth to match seamlessly in color and shape. By carefully reshaping the gums, Dr. LaRock achieved a completely natural result, and the patient was thrilled with her healthy, confident new smile.
Before (a)

Poor color match with loose, red, inflamed gums.
After (a)

Before (b)

Large fillings were chipping over time,
and incisal edge lengths didn’t match.
After (b)

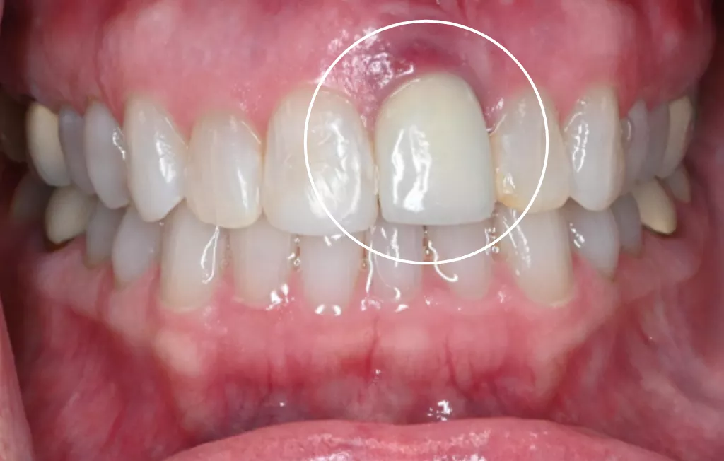
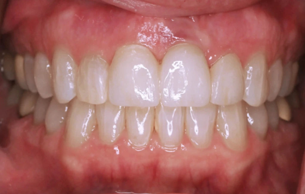
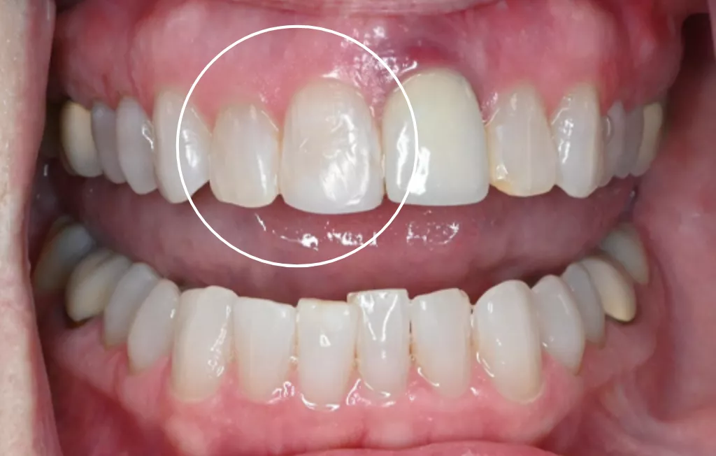
Case 3: Veneer Replacement and Smile Design
This patient came to Dr. LaRock with older composite veneers that were chipping, staining, and not as bright as she desired. To rejuvenate her smile, Dr. LaRock designed and placed new porcelain veneers, improving both color and contour for a beautifully natural result.
Using digital scans and working closely with a trusted local lab, Dr. LaRock created precise digital mock-ups and reviewed them with the patient to ensure her input was incorporated into the final design. She was thrilled with her refreshed, radiant smile and plans are already underway to enhance her lower teeth soon.
Before (a)

After (a)

Before (b)

After (b)

Request An Appointment Today
If you’re looking for compassionate and quality dental care in Manchester, MI, you can rely on LaRock Dental and the caring team under Dr. LaRock.
Testimonials
We Love Hearing From Our Patients

Front desk staff, dental hygienist and doctors were pleasant and professional.
– Gerald M.

“My hygienist was amazing and dentist was excellent. Highly recommend!”
– Brent L.

“Great small town practice with a caring staff.”
– Michael B.
126 East Main Street Manchester, MI 48158
734-428-8323
